臉部饅化修復:不同材質造成的硬塊、腫脹與凹凸不平,該怎麼判斷與治療?(臨床實例解析)

這一年,我明顯感覺到臉部饅化修復的個案越來越多。
不論是玻尿酸饅化、脂肪饅化、雅德媚饅化、矽膠位移造成的硬塊、Sculptra(PLLA)、PDLLA(精靈針、魔法針)、PCL、微晶瓷(CaHA)及Ellansé洢蓮絲等, 針劑的種類變多、施作者的風格差異,再加上免疫系統時不穩定,各種材質都可能在施打後的某個時間點「變硬、變腫、變得不對稱」,不同程度的饅化反應,需要靠複合式饅化修復手術一一處理。
客人常常會擔心:「是不是臉回不去了?」也因此,臉部饅化修復手術的難度本來就比較高,責任也更重,但所有問題都有路可走,前提是判斷正確,能大幅增加饅化修復的成功率。
- 目錄大綱
- 1.最容易饅化的位置Top3
- 2.不同材質的臉部饅化修復
- 3.玻尿酸饅化
- 3-1.玻尿酸饅化的超音波影像
- 4.自體脂肪饅化
- 4-1.脂肪饅化的超音波影像
- 5.不可吸收材質(矽膠Silicone)
- 5-1.矽膠饅化的超音波影像
- 6.雅得媚饅化
- 6-1.雅得媚饅化的超音波影像
- 7.膠原蛋白增生劑饅化
- 7-1.增生劑饅化的超音波影像4大特徵
- 8.臉部饅化修復該怎麼做?

如果判斷正確,就可以挑選正確的方式,提升治療成功的機率。
要把饅化修復做好,我最重視四件事:
1|材質是什麼?不同材質=不同修復邏輯。玻尿酸、脂肪、矽膠、雅得媚、PLLA、PDLLA、PCL、微晶瓷、Ellansé,全都不一樣。
2|是什麼時候開始腫的?有沒有痛?引發因素是什麼?一個月內腫多半與感染或急性反應相關,超過一個月的腫通常與免疫系統或材質特性相關,感冒、疫苗、壓力大、打過的針劑等也可能是引爆點。因此,時間點+症狀,很重要。
3|超音波看起來的結構是什麼?超音波是饅化修復的眼睛。是透明?顆粒?厚層?有包膜?有液體?尤其是biostimulator,同樣是腫脹,不同階段所顯示的樣子是不同的。影像決定治療策略。
4|客人期待?修復不是把東西抽乾淨,是怎麼消得自然又有美感。
| 延伸 閱讀 | 饅化臉怎麼辦?超音波診斷4大饅化原因+3階段饅化修復策略 |

最容易饅化的位置Top3
圈起來的地方都是常見饅化部位。
1. 淚溝
淚溝是饅化最常見的地點。原因通常不是「做壞了」,而是醫師希望讓凹陷改善得更明顯、填補得更完整,於是多補了一點,那種線狀的凸起感,大多發生在做完微整形或眼袋手術後出現,病人形容,笑起來像眼下有一條「毛毛蟲」。

問題在於淚溝這個區域本身結構就很複雜。眼下有tear trough ligament(淚溝韌帶),像一條繫帶固定在骨頭上,周邊又有深淺不同的脂肪隔間、眼輪匝肌等層次交疊,任何一個隔間的材料過多,材質會被韌帶擋住或被牽扯,就容易有饅化現象。
所以,淚溝饅化常常不是靜態不好看,而是動態更明顯。只要笑、講話、眨眼,那條「毛毛蟲」就會跑出來,這也是為什麼淚溝修復難度高,需要美感與技術一起到位。
2.蘋果肌
第二常見饅化的位置是蘋果肌。
案例通常不會說自己凹或歪,而是直接說一句:「笑起來臉好大。」

我們會覺得中臉「垂下來」, 其實是深層脂肪先萎縮、上緣凹了,淺層脂肪又往下滑、堆在法令紋附近,看起來就像原本高高的蘋果肌塌掉、跑到下面,臉型從倒三角變成比較方、比較沉重。
治療時若一味把淺層打滿,容易饅化,變成「奪魂鋸面具人」。正確觀念是,中臉各層次厚度太厚,治療也要朝著這個方向著手。
3.鼻子
鼻子饅化最常出現在山根與眉間交界,這個區域空間非常狹窄,血管又多,眉間肌肉活動大,不管是甚麼材質,只要有一點點腫起來,都會立刻變得很明顯,就是「納美人」的樣子。

鼻子周圍的解剖層次深淺差異只有幾毫米,使用局部微創處理上必須特別小心,特別是滑車上動脈與滑車上神經,不管是要減量,還是要調整深度,都需要依靠超音波找到確切位置。
鼻子的饅化修復必須保守且精準,處理過頭會破壞自然的鼻額轉折,處理不足又不夠改善,所以每一步都要拿捏得剛剛好。
| 延伸 閱讀 | 打針硬塊消不掉dcard疑惑:降解酶失敗原因、硬塊比較表 |
不同材質的臉部饅化修復

玻尿酸饅化
玻尿酸一直是我心目中安全可控、也最值得信賴的填充材質。原因很簡單:它有專屬的降解酶可以處理,就算效果不如預期或出現小小的饅化,只要施打得當,幾乎都能順利解決。棘手狀況是遇到 Biofilm(生物膜)反應。這不是玻尿酸本身的問題,而是任何外來物都可能遇到的共通現象。
什麼是Biofilm(生物膜)?
我常用一個簡單的比喻:生物膜就像細菌在玻尿酸外面蓋了一間「小房子」,把自己藏起來。
- 免疫系統抓不到它
- 降解酶進不去
- 就算吃抗生素,也不是每一種都能穿透那個小房子
這些硬塊會變得比較「頑固」,不容易一次就溶乾淨。但不代表不能處理,只是需要微創破除膜結構,必要時做減量,因為 沒有異物就不會有生物膜,多重策略搭配下,還是可以把問題解決得很好。
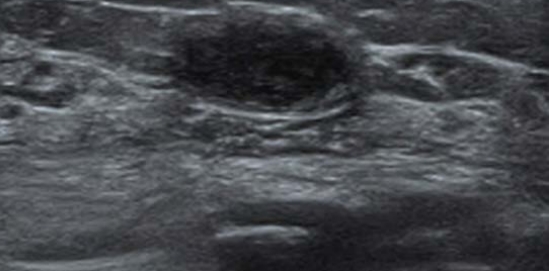
玻尿酸饅化的超音波影像

玻尿酸在超音波上算是最容易辨認的材質,看起來像:透明、水珠狀的低密度區域。
為什麼「打了半年」才突然腫起來?
很多人以為玻尿酸的反應應該在前兩週就發生,但其實免疫系統才是真正的變數。 我自己就曾經遇過一次重感冒,結果一年前打過玻尿酸的地方突然微腫、微痛,約莫兩個禮拜恢復正常。
我的推測是,玻尿酸雖然與人體高度相容,但交聯劑仍可能刺激免疫系統, 感冒、身體水腫、打疫苗、壓力大等,都可能讓免疫系統短暫變敏感,玻尿酸有吸水性,水腫體質的人反應可能會更明顯。

自體脂肪饅化
自體脂肪一直是安全性很高的材質,但變數在於存活率。 早期的治療通常會抱著「多補一點比較保險」的概念,試圖彌補存活率的不可預測性,也讓某些區域變得更容易出現脂肪補過量的問題。
在我的經驗裡, 最容易出現脂肪饅化的位置是淚溝與蘋果肌,偶爾會遇到額頭因為補太多而變得過軟、不自然的案例,但比例相對少。
為什麼淚溝特別容易饅化?原因在前面提到的解剖構造。
淚溝是一個由多條韌帶與肌肉交會而成的複雜區域,如果脂肪壓在淚溝韌帶附近,或是與韌帶產生黏連,韌帶會被「撐粗」或「牽扯」,一笑、講話、眨眼,脂肪受到肌肉動作的擠壓往上推,鼻側淚溝出現一區不自然的腫塊,也就是大家常說的淚溝「毛毛蟲」。
脂肪饅化的超音波影像

脂肪饅化在超音波下通常呈現:亮白片狀的高回音區、質地方向不均、邊界模糊,與周圍組織混雜。脂肪饅化的治療難度屬於中等,但成功率很高。

不可吸收材質(矽膠Silicone)
矽膠是完全不可吸收的填充物,不會被身體分解,也不會跟周圍組織黏合,最麻煩的問題是位移。臨床常看到的例子是: 原本打在嘴角附近,結果過了幾年卻慢慢往下流,跑到下巴,形成一顆怎麼看都不自然的硬凸。
矽膠饅化的超音波影像
.jpg)
跟玻尿酸饅化的黑色水潭(無回音區)影像不同, 矽膠會呈現出一片邊界不清、亮白色(高回音)的雜訊,就像散沙一樣滲透在組織間隙中,這也是為什麼矽膠難以完全取出的原因。

矽膠饅化的處理只有一條路:取出。 手術把它夾出來時,往往真的能看到亮晶晶、帶顆粒感的固態物質,與玻尿酸或脂肪那種「軟組織感」完全不同。雖然相對麻煩,但取出後大多能恢復自然的外觀。

雅得媚饅化
雅得媚(Aquamid)是早期非常熱門。它的組成是 97.5% 無菌水 + 2.5% 聚丙烯醯胺(PAAG)。水分賦予它柔軟流動的質地,而 PAAG 則是一種高度穩定、幾乎不會被代謝。正因為它不會被吸收,放在體內時間越久,越有可能出現位移,長期慢性發炎所以纖維化變硬的問題。
腫脹要特別當心「感染」
雅得媚使用多年後突然腫起來,一定要提高警覺,感染的機率很高,即早發現不難處理,處理原則是:先做適當的引流,減少壓力並排出濃稠物質。若要降低以後再次感染的風險,一定要盡量減量,把可清除的物質清乾淨。
雅得媚饅化的超音波影像

雅得媚饅化在超音波下,中央呈現混濁、流動性的黑色囊腔,黑色區域周圍的邊界是一層明顯變厚的高回音纖維化包膜,顯示它被組織包覆,形成了偽囊腫或結節。
治療難度:中高
根據我的經驗,雅得媚饅化很難只靠打針處理,更多時候需要複合式饅化修復手術,先把中央的膠狀物質引流、清空、減量再針對外層的纖維化包膜做進一步處理,但是幾乎都可以恢復原來的樣子。
我也在另一篇文章中做過完整介紹(連結:https://www.lipro.com.tw/service/facial_lipo)

膠原蛋白增生劑饅化
現在市面上的膠原蛋白增生劑種類很多,雖然名稱不同,但 本質上都是「顆粒型」外來物。不同顆粒大小、硬度、結構,會決定它們刺激免疫系統的強弱,直接影響饅化的可能性。也是饅化最困難處理的材質。
巴西有一篇2024的文獻,Mayra et al.認為膠原蛋白增生劑的饅化(結節)主要與產品本身的材質特性有關,而非技術問題。顯示粒徑、材料誘發的免疫反應與產品性質本身,才是饅化的核心原因。以下是臨床最常見的五大類材質:
PLLA(童妍針 Sculptra)成分 Poly-L-Lactic Acid,多為左旋形式的乳酸聚合物。顆粒大小:一般落在 40–63 μm 左右,顆粒偏細,刺激程度中等,產生的膠原量比較「均勻擴散型」。
PDLLA(精靈針 Aesthefill、魔法針 Vivabella)成分為Poly-D,L-Lactic Acid,顧名思義是 D 與 L 兩種鏡像分子的混合體。顆粒大小:通常比 PLLA 更大、更粗,約 40–80 μm 以上,在組織裡停留時間更長。
Ellansé(依蓮斯、少女針、奇蹟針或二代童顏針)是最「有個性」。它的組成是 30% 的 polycaprolactone(PCL)微粒 + 70% 的 carboxymethylcellulose(CMC)凝膠。顆粒大效:PCL微球大小落在 25–50 μm 之間,是顆粒形狀均勻、表面光滑。
洢蓮絲饅化:最硬、最黏、最難處理的膠原蛋白增生劑,Ellansé饅化後特別「硬」,不是因為顆粒比較大,而是在體內的行為模式不同。
首先,它的顆粒形狀非常均質、大小一致,刺激膠原時會形成更緊密的纖維板塊。其次,PCL 的刺激時間比其他材質長,膠原會持續增厚、變得更致密。最後,Ellansé 常被放在深層骨膜上做定點注射,纖維化集中在小範圍內,密度更高,因此動態表情時就容易看到一顆「又硬又明顯」的結節。
CaHA(Radiesse再生針、微晶瓷) 成分是Calcium Hydroxyapatite(羥基磷灰石),一種高密度的礦物顆粒。顆粒大小:約 25–45 μm,顆粒是「硬顆粒」,比有機聚合物更強烈刺激纖維化。
| 比較 | Sculptra | Ellansé | Radiesse | AestheFill | VIVIBELLA |
|---|---|---|---|---|---|
| 材質種類 | PLLA (聚左旋乳酸) | PCL (聚己內酯) + CMC (凝膠載體) | CaHA (羥基磷灰石鈣) + CMC (凝膠載體) | PDLLA (聚雙旋乳酸) | PDLLA + HA (非交聯玻尿酸) |
| 顆粒形狀 | 不規則結晶 | 平滑正圓球體 | 平滑微晶球 | 多孔性微球體 | 網狀微球體 |
| 顆粒大小 | 40 - 63 µm | 25 - 50 µm | 25 - 45 µm | 30 - 70 µm | 小分子(白): ~10-40 µm 大分子(黑): ~30-70 µm |
| 刺激期 (膠原持續增生) | 漸進式 (慢) 約 1-3 個月開始顯著,持續至 25 個月。 | 立即 + 持續 (快) 立即填充,PCL 持續刺激,依型號維持 1-4 年。 | 立即 + 結構 (快) CMC 立即填充,CaHA 形成骨架刺激膠原,維持約 12-18 個月。 | 漸進式 (中) 注入後約 4-8 週膠原增生,維持約 18-24 個月。 | 立即 + 雙重 (中) 玻尿酸立即支撐,PDLLA 持續刺激,維持 18-24 個月。 |
| 臨床饅化特性 (Overfilled Syndrome) | 「厚重感」饅化 若劑量過多或未充分按摩,易出現組織增厚。視覺上較為「沉重」、表情僵硬。 | 「硬塊感」饅化 質地最硬挺,若淺層施打或過量,易形成邊界明顯的「硬塊」或「塑膠感」凸起。 | 「骨感」饅化 硬度高、支撐力強(仿骨)。若過量或層次錯誤,線條會過於銳利僵硬,觸感如骨頭。 | 「麵包感」饅化 因結構多孔,組織長入較多,若過量易造成大面積「浮腫」或「麵包化」。 | 「水腫感」饅化 含玻尿酸載體,初期易吸水水腫。若過量,皮膚張力過大會呈現亮面充氣感。 |
為什麼會「前兩年沒事,第三年突然腫起來」?幾乎每個做膠原蛋白增生劑饅化的病人都問過這題。事實上原因不複雜,免疫系統不是固定值,它會被很多生活事件重新啟動:如感冒、疫苗、壓力大、荷爾蒙變化、臉部有外傷或醫美刺激、月經前後體質波動,當免疫系統被激活時,原本「安靜的顆粒」就會再次被注意到,於是局部開始腫、變硬,甚至變得更明顯。
| 延伸 閱讀 | 洢蓮絲硬塊dcard饅化處理關鍵?為什麼打了音波變更腫? |
增生劑饅化的超音波影像4大特徵
根據《Ianhez ME et al., Complications of collagen biostimulators in Brazil. 2024》此篇巴西研究中,增生劑饅化的超音波影像可歸納為四大類:

①PLLA(Elleva)頸部結節,患者頸部兩側有多顆隆起的結節,呈現局部不規則突起,為注射PLLA 後出現的晚發性硬塊。超音波影像呈現低回音的塊狀,結節位於皮下脂肪層,位置正確(未誤打SMAS),但仍形成結節,支持問題與材質相關。
②PLLA(Sculptra)臉部錯層注射結節,顳側至顎線區可見突起的硬塊,做表情更明顯。超音波影像可見,結節呈現低回音團塊,並清楚顯示位於SMAS,屬於注射層次過深,代表少數結節確實與錯層注射有關,但大多數案例並非技術問題造成。

③CaHA(Radiesse)鈣結節特徵,頸部兩側可見對稱性的硬塊突起,超音波影像中,CaHA 為高回音材料,因此呈現高回音與明顯後方音波陰影,結節呈拉長形態,位於皮下脂肪層,為典型的鈣基填充物影像。
④PCL(Ellansé)肉芽反應,顳側(靠近眉尾)局部突起結節,超音波顯示邊界不清的低回音肉芽反應組織,是PCL常見的晚期變化。
臉部饅化修復該怎麼做?
一、建立正確診斷(超音波)
饅化的修復並不是單純把硬塊弄掉而已,它牽涉到的層面非常多。第一步永遠是「了解客戶心裡的期待」。很多時候,外人覺得圓潤好看,但對於原本臉型較瘦、習慣自己五官線條的人來說,那種「被改變的感覺」會讓他覺得不習慣、不像自己。所以我會花不少時間去理解客人的背景、施打的歷史、心理的落差感等,這些都會影響後續治療的方向。
而在醫療上,超音波就是饅化修復最重要的一雙眼睛。 遇到結節或硬塊,我會用超音波辨識它的性質:是水腫?顆粒型?纖維化?脂肪殘留?還是材料散佈?有些影像很典型,但有些真的不容易立刻下診斷;即便如此,影像越精準,處理就能越溫柔、越符合需求。
二、可以使用甚麼方法?饅化修復沒有單一公式,而是依照材質、位置、病史與客戶期待去選擇最適合的方式。我常用的治療包含:
- - 消疤針:降低免疫反應、軟化纖維化
- - 降解酶:處理玻尿酸相關饅化
- - 局部微創處理:針對明確的小硬塊做精準減量
- - 顯微套管抽脂:用在大範圍的均勻整理,讓組織密度回到柔軟自然
總結:饅化修復不是「把東西消掉」,而是「留多少剛剛好」的技術

很多人以為饅化修復的重點把東西除掉,但真正的目標不是「清空」,而是①知道是什麼東西造成的變化,所以未來會有甚麼變化②知道該消多少、該留多少③知道怎麼讓臉重新回到柔軟、自然的狀態。
饅化修復是一門需要判斷、經驗與美感同時到位的治療。對我來說,饅化修復最迷人的地方在於,不是把臉處理到一乾二淨,而是把臉「修回剛剛好」。這確實是一門充滿挑戰的學問,但也正是我非常喜歡、也非常享受的工作。
饅化怎麼辦?真實案例分享
![]() | ![]() |
![]() | ![]() |
![]() | ![]() |
![]() | ![]() |
![]() | ![]() |
| 延伸 閱讀 | 饅化臉修復聖經|為何玻尿酸饅化降解酶沒用?顯微套管抽脂與超音波導航的精準救援 |





.jpg)
.jpg)
.jpg)
.jpg)
.jpg)
.jpg)







