打針硬塊消不掉dcard疑惑:降解酶失敗原因、硬塊比較表

打針硬塊消不掉dcard討論說法很多,硬塊可能只是正常的局部反應,也可能是需要處理的玻尿酸發炎或結節,遇到先別緊張,區分清楚並掌握時間軸,硬塊多久會消、什麼情況要看醫生?降解酶失敗原因?瞭解清楚才能避免狀況變嚴重。
打針硬塊消不掉的原因
多數人摸到硬塊,第一反應就是揉它或熱敷,但真正要先弄清楚,硬塊是哪一型?同樣叫硬塊,有的是藥物在肌肉裡造成的局部結節,有的是血腫或發炎,有的則是微整形填充物在皮下形成的包膜或纖維化,甚至跟生物膜(biofilm)有關。

疫苗/肌肉注射後硬塊消不掉
硬塊出現在手臂或臀部,而且是打完疫苗、止痛針、肌肉注射後才出現,通常為「局部反應型硬塊」是藥液刺激、局部發炎、或是小範圍血腫造成的結節。
這類硬塊的特徵是:摸起來偏紮實、常伴隨瘀青、按壓可能酸痛,但不一定會紅腫發熱,多數會在數週內慢慢軟化變小,只是消退速度因人而異,有些人反應較強、活動少、循環差,局部會形成較紮實的纖維組織,建議回診評估,必要時以超音波影像確認型態。

醫美注射後硬塊消不掉
硬塊在臉上、或是打過玻尿酸、填充物後才出現,可能是注射分佈不均或位移造成的結節,或是隨著時間久了,填充物與人體反應,形成纖維化包膜。
醫美注射後硬塊消不掉,為什麼更麻煩?
因為,臉部不是一塊均質的肉,而是由皮膚、皮下脂肪隔室、SMAS筋膜層、韌帶、深層脂肪與骨膜層組成的「分層結構」。
填充物一旦進入不同層次,會被不同的解剖空間收納:有的停留在皮下淺層脂肪隔室,有的落在SMAS附近,有的更深到骨膜上方,每一層的血流量、活動度、組織張力、淋巴回流都不同。
再加上填充物會牽動局部組織反應:從水分分佈改變、纖維母細胞反應,到可能的慢性發炎或肉芽腫(granuloma),因此你摸到的硬塊,常常是「填充物+人體反應」的複合體,而不只是玻尿酸本體。
原因1:注射落點不同

✔淺層皮下:靠近皮膚,若局部堆疊或分佈不均,容易摸得到顆粒感。
✔SMAS附近或臉部空間:表情牽動大,填充物可能滑動、按壓像會推動的結節感。
✔深層脂肪或骨膜上:血流較慢、活動相對小,殘留物可能留得久、變化慢。
玻尿酸填充在不同層次、不同劑量、不同分佈,會呈現不同的觸感與外觀。當注射層次太淺、或局部堆疊,容易摸起來像球狀;有些人則是因為表情肌活動、組織滑動,出現填充物位移,視覺上像一坨的塊狀,處理首要是精準判讀。
原因2:纖維化或包膜形成,硬塊不全是HA

臨床常見的誤會是:覺得硬塊還在=玻尿酸完全沒代謝。實際上是,玻尿酸在體內逐漸從「高含水凝膠」變成更「組織化」的結構,周圍可能出現膠原纖維、纖維母細胞反應,形成類似包膜或纖維化的支架,把原本的凝膠包起來或「整合進去。
所以你看到、摸到的硬塊體積,可能是:
✔一部分是HA
✔一部分是纖維化後的組織結構(更硬、更耐久)
為什麼會覺得打針硬塊消不掉?就是因為硬塊不全是玻尿酸,降解酶能分解HA,但不會把纖維化組織一起消掉,所以視覺上變化有限。

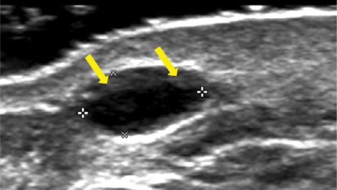
臨床治療上,我喜歡用超音波來精準判讀,(上圖)影像可見皮下組織內一個邊界清楚的橢圓形低回音/近無回音(Anechoic)囊樣結構(黃箭頭處),符合玻尿酸HA殘留或局部聚集,用於評估打針硬塊消不掉時是否仍有可被定位的HA,並作為後續導引處置參考。
| 延伸 閱讀 | 饅化怎麼辦?超音波診斷4大饅化原因 |
原因3:延遲性結節與免疫/慢性發炎反應

當HA填充物進入人體,雖然HA具備生物相容性,但加工過程中的交聯劑殘留,或填充物中微量的細菌,可能被視為抗原。Biofilm(生物膜)意指,少量常在菌黏附在填充物或其周圍纖維化結構上,形成保護層。
Biofilm(生物膜)可能長時間沒有明顯症狀,卻在免疫力改變時(如感冒、牙科手術、疫苗接種等),原本處於休眠狀態的生物膜內的細菌可能釋放進入周圍組織,導致結節突然腫起來。研究中也提到,HA填充物相關肉芽腫的發生率區間(雖低但存在),臨床表現可能是腫、硬、痛、時好時壞、甚至反覆發作。
當硬塊被纖維化包住、或周圍形成整合型組織時,降解酶可能只能處理掉其中一部分,剩下的體積依然存在,但這時候最重要的不是加碼多打一針,而是先確認目標,否則反覆處理只會把組織刺激得更敏感。
降解酶失敗dcard討論揭密

降解酶失敗dcard討論最常見的問題是,為什麼已經打針硬塊消不掉?
首先從機制上,降解酶(hyaluronidase)只做一件事:切開HA的醣胺聚醣鏈結,讓凝膠結構崩解、利於擴散與吸收。如果硬塊不只HA、或HA被隔離在某個空間裡,降解效果就會變得不理想,這不是降解酶失敗,而是「目標不在同一層」。

臨床上遇到的降解酶失敗,通常是材質根本不是HA。
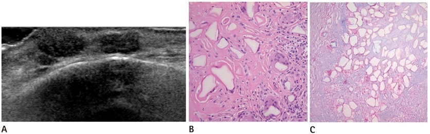
女性4年前接受過膠原蛋白注射。因額部可觸及腫塊,超音波檢查(A)額部橫向掃描看見圓形低迴音結節。
值得注意是,HA在超音波影像是低回音/近無回音,但更接近水袋/果凍袋的囊樣表現,後方回音增強。
而膠原蛋白注射後多年出現的腫塊,屬於異物反應/肉芽腫/纖維化形成的實質性結節,也會呈現低回音,但影像偏向實心結節、邊界可能不規則,內部混雜回音,後方不一定有典型增強。
因此,醫師掌握超音波的經驗判斷就很重要。
| 延伸 閱讀 | 膠原蛋白增生劑饅化的超音波影像4大特徵 |
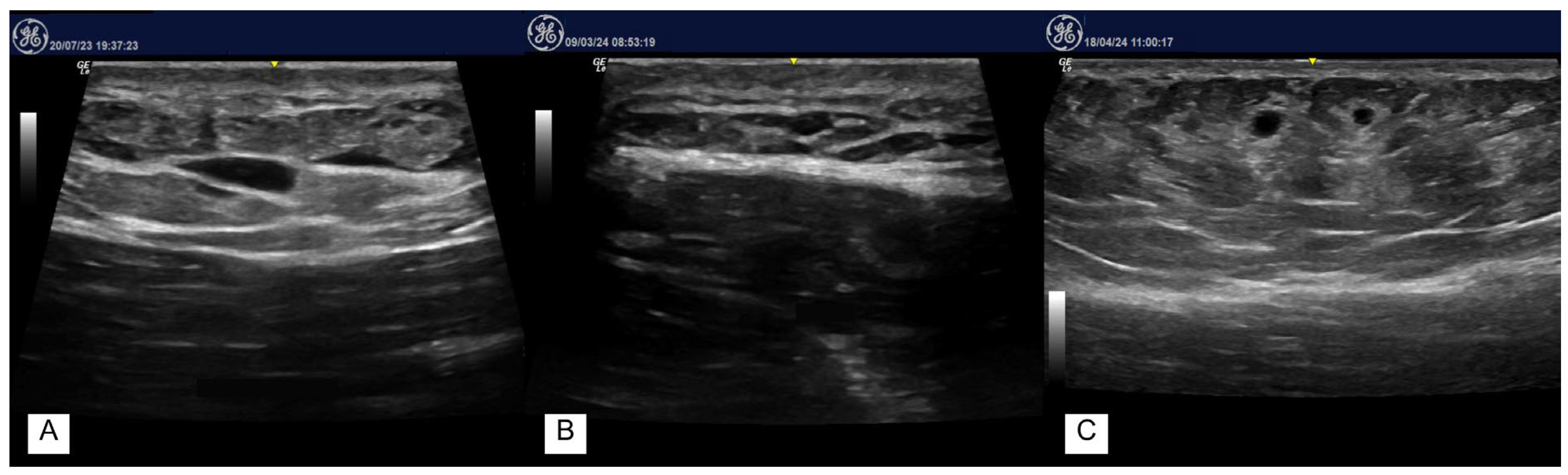
雖然隨時間推移,可觀察到玻尿酸凝膠量的減少,其特徵為凝膠口袋數量與體積的下降,但仍持續可見多個呈現假性囊腫樣(pseudocystic appearance)的低回音結構,直到20個月都還可以看到玻尿酸在組織裡面。上圖為多頻率超音波影像,顯示在 12 個月(A)與 20個月(B、C) 追蹤時,臀部內可見之玻尿酸口袋。
| 延伸 閱讀 | 饅化臉修復聖經|顯微套管與超音波 |
一名47歲的女性接受唇部注射後一周,超音波檢查結果顯示低迴聲區域,(A) 圖為降解酶治療之前的超音波;(B)圖為降解酶治療之後的超音波,三週後複查影像顯示纖維化消退,低迴聲區域周圍僅殘留輕微水腫。
一名53歲的女性接受法令紋注射, (A) 圖為10天後超音波檢查結果,顯示存在深部低迴聲結節;(B) 圖為口服抗生素,同時降解酶治療9週後再檢查,超音波顯示完全恢復。
超音波看硬塊是什麼:一張表秒懂
| 硬塊類型 | 常見觸感/外觀 | 超音波線索 | 最可能原因 | 處理方向 | 風險提醒 |
|---|---|---|---|---|---|
| HA殘留型 | 可摸到飽滿感或局部凸起,觸感偏果凍或彈性 | 低回音到無回音結構,形狀相對像一團 | 殘留HA、分佈不均、局部口袋 | 影像定位後評估降解,避免盲打 | 靠近血管高風險區需專業評估 |
| 纖維化/包膜型 | 觸感偏硬、像結節,外觀不一定很腫但摸起來明顯 | 結構像組織,邊界可能不規則或有包膜感 | 人體反應後形成纖維化,體積不全是HA | 分階段策略:先判讀、再處理纖維化本身 | 反覆刺激可能讓局部更敏感 |
| 發炎/感染型 | 紅、熱、痛、腫,或突然變大,可能伴隨發燒 | 可能見液體、混濁訊號或周圍發炎反應線索 | 感染、膿瘍、延遲性發炎反應 | 先評估,必要時抗生素/引流/轉診共同處理 | 不要自行揉捏或拖延 |
| 非HA疑慮型 | 硬塊長期存在、降解差、外觀像一直在那裡 | 可能與典型HA不一致,需要專業判讀 | 材質非單純玻尿酸,或混合材質 | 先確認材質與位置,再決定是否移除或其他策略 | 別把多打降解當解法 |
打針硬塊消不掉Dcard討論10大QA
Q 打針硬塊消不掉正常嗎?
答:多數情況是正常的局部反應,尤其是肌肉注射或疫苗後,硬塊常在數週內逐步軟化變小,但如果硬塊快速變大、紅熱痛、發燒,或超過 8 週仍不變,就建議就醫評估。
Q 打針後硬塊多久會消?
答:常見在 3 週到 8 週逐步軟化吸收,重點看趨勢是否變小、變軟、變不痛,若症狀惡化或超過 8 週仍明顯不變,建議門診判讀。
Q 打疫苗後手臂硬塊像彈珠怎麼辦?
答:如果沒有紅熱痛且不擴大,多半可先觀察並避免揉捏,依時間點選擇冷敷或熱敷,若硬塊變大、發熱、疼痛加劇或影響活動,建議就醫。
Q 肌肉注射後屁股硬塊一直痛,需要熱敷嗎?
答:若還在前 48 小時偏腫痛,通常不建議大力熱敷或按摩,先以舒適與不加劇疼痛為原則,若疼痛越來越強、局部變熱變紅,需就醫排除血腫或感染。
Q 打針硬塊可以按摩嗎?
答:若硬塊在變小變軟、無紅熱痛,輕度按摩有時可舒緩,但只要按了更痛、更腫、或出現發熱紅腫,就不建議再揉,避免刺激發炎。
Q 玻尿酸硬塊一定要打降解酶嗎?
答:不一定,要先確認硬塊是 HA 殘留、位移結節,還是纖維化包膜,若硬塊成分不全是玻尿酸,單純加打降解不一定有效,建議先評估再決定處理方式。
Q 為什麼降解酶打了沒效?
答:常見原因包括材質不是單純玻尿酸、硬塊被纖維化或包膜包住讓酶進不去,或沒有影像定位打不到關鍵區,這時更重要的是判讀型態而不是一直加碼。
Q biofilm 是什麼?為什麼隔很久才腫?
答:生物膜可能讓細菌處於低度潛伏狀態,平常不一定有症狀,但在免疫狀態改變時可能被喚醒造成延遲性腫塊或發炎,處理需要更謹慎並可能需要長期追蹤。
Q 超音波能分辨是不是玻尿酸殘留嗎?
答:多數情況可以提供很大幫助,因為不同型態(HA 殘留、纖維化、液體或發炎反應)在影像上常有不同線索,能減少盲打與反覆嘗試。
Q 什麼情況需要移除或轉大醫院?
答:若反覆發炎、感染疑慮、或懷疑非 HA 材質且處理複雜,常需要更完整的處置與追蹤,必要時與大醫院共同處理會更安全。
• Convery, C., Davies, E., Murray, G., & Walker, L. (2021). Delayed-onset nodules (DONs) and considering their treatment following use of Hyaluronic Acid (HA) fillers. The Journal of Clinical and Aesthetic Dermatology, 14(7), E59–E67. Retrieved from https://pmc.ncbi.nlm.nih.gov/articles/PMC8570356/
• Kim, S. J., Shin, H. J., Shin, K. C., Choe, J. G., & Choi, H. Y. (2017). Postoperative evaluation of breast cancer: A pictorial review of normal and abnormal findings. Journal of the Korean Society of Radiology, 77(4), 222-234. doi:10.3348/jksr.2017.77.4.222. Retrieved from https://jksronline.org/pdf/10.3348/jksr.2017.77.4.222
• Chung, M. S., et al. (2012). Imaging findings of the post-treatment breast. American Journal of Roentgenology, 198(3), W204-W214. doi:10.2214/AJR.11.6719. Retrieved from https://ajronline.org/doi/10.2214/AJR.11.6719
• Gidwani, R., & Ferris, L. K. (2021). Cosmetic fillers: A review of the adverse and beneficial effects. Journal of the American Academy of Dermatology. [PMC7830082]. Retrieved from https://pmc.ncbi.nlm.nih.gov/articles/PMC7830082/











