雅得媚後遺症爆發?10年前流行的長效填充物,如今卻成為醫師最頭痛的異物

十多年前,雅得媚(Aquamid)以「長效不吸收」的特性風靡醫美界,許多人用它來隆鼻、豐頰或修飾法令紋,是很好的填充物,但少數個案會有一些問題,也不是不能處理的。
麗波永康國際診所近年發現,因為雅得媚後遺症(臉部硬塊、肉芽腫、凝膠移位、甚至輪廓變形為饅化臉)上門求診的民眾變多,而這些症狀的本質,源自於身體對外來永久型物質的長期慢性免疫反應。當填充物無法被代謝、長期與組織纏結時,就可能誘發持續性的發炎及纖維化。
究竟,雅得媚是什麼?為什麼會發生這麼多的雅得媚後遺症?針對雅得媚失敗的生物學機轉,如何透過高頻超音波在精準診斷中,起到關鍵的修復作用,並說明雅得媚取出的處理策略,本篇都將清楚說明。
| 延伸 閱讀 | 玻尿酸饅化有救嗎?饅化臉修復案例多圖一次看 |
雅得媚Aquamid是什麼?為什麼當年這麼紅?

雅得媚(Aquamid)是由丹麥Ferrosan公司研發及製造的長效型人工水凝膠填充物,2001年在歐洲獲準用於臉部填充和身體塑形。很多客人施打後,維持很持久也很不錯,至於,雅得媚後遺症的出現要從其成分結構開始說明。
雅得媚結構成分

雅得媚Aquamid成分是:97.5%的無菌水 + 2.5%的聚丙烯醯胺(Polyacrylamide Hydrogel, PAAG)。前者提供凝膠高度的含水性和流動感,後者是一種化學性質穩定的高分子聚合物,不會被身體的酵素或細菌吸收、分解或代謝。
雅得媚之所以在2005~2015年間風靡市場,主要優勢在於持久性。雖然廣告宣傳效果可持續10年,但實際上被認為是永久性的,因為PAAG結構無法被人體分解或代謝,會留在原位並融入組織中,不像玻尿酸會被吸收,也不需定期補打,這種「永久型特性」一旦出現問題,幾乎無法完全移除,成為雅得媚後遺症的根源。
雅得媚 玻尿酸差別整理表格
| 比較項目 | 雅得媚 (Aquamid) | 玻尿酸 (HA) |
|---|---|---|
| 成分本質 | 聚丙烯醯胺水凝膠 (PAAG) | 透明質酸 (Hyaluronic Acid) |
| 材料特性 | 永久型人工合成凝膠 | 可分解型生物體內天然物質 |
| 人體反應 | 不吸收、不分解,可能引起慢性免疫反應 | 可被身體酵素(玻尿酸酶)代謝分解 |
| 維持時間 | 長效 3-10 年,理論上永久 | 中短效 6-18 個月,視劑型而異 |
| 主要併發症 | 晚發性肉芽腫、纖維化、凝膠移位 | 暫時性腫脹、瘀青,少數血管栓塞風險 |
| 可逆性 | 低:凝膠滲透組織,無法完全取出 | 高:可注射玻尿酸酶,溶解處理 |
| 修復難度 | 高:需超音波引導、多次手術/鬆解,無法保證恢復原貌 | 低:多數併發症(非血管栓塞)可逆轉 |
| 臨床應用趨勢 | 後遺症高,市場趨於淘汰 | 持續發展高彈性、高支撐力劑型 |
雅得媚後遺症為什麼會發生?
雅得媚不是玻尿酸、也不是膠原蛋白,而是一種「人工水凝膠」 ,最早用於豐頰、法令紋、下巴、隆鼻,某些醫師甚至用於乳房或臀部填補。永久型填充物的風險在於時間,隨著老化、脂肪流失與組織鬆弛,原本位置正確的填充物可能逐漸位移、纖維化或變形。

醫學上目前對於雅得媚的負面報告可見於《Aesthetic plastic surgery》2006年的期刊之中,報告收集到15位案例出現雅得媚後遺症,大部份是發生硬塊或注射物位移的現象。亦有業者表示,問題出自黑心商品,並非丹麥原廠。
然而,多項臨床文獻及醫師實務經驗發現,雅得媚的併發症分為短期和長期。短期併發症(注射後1週內)包括:注射部位紅腫、輕微瘀青、局部水腫或暫時性不對稱,與任何皮下注射療程的反應相似,多屬於正常術後反應,通常數天內可自行緩解。
最具臨床挑戰性的是晚發併發症(注射後數月~數年)包括:晚發性結節或肉芽腫、填充物移位、臉型不對稱、硬塊及表情拉扯感,甚至感染與膿腫。根據研究,當注射劑量超過5mL時,輪廓畸形與移位的機率明顯上升,且一旦移位,PAAG會滲透於組織間隙,幾乎不可能完全清除乾淨。
雅得媚失敗的2大原因
慢性發炎與肉芽腫反應
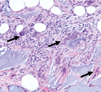
雅得媚(Aquamid)打進皮膚後不會被人體分解或代謝,因此,人體的免疫系統會把它視為外來物,派出巨噬細胞和發炎細胞長期圍攻,隨著時間過去,這些細胞會不斷聚集融合,並釋放出訊號,造成局部的慢性發炎,形成肉芽腫(granuloma)。接著,周圍的細胞會分泌大量的膠原蛋白,發炎組織變硬,形成纖維化(fibrosis)。

圖說:軟組織填充物引起的肉芽腫
雅得媚失敗後會出現外觀不平整、摸起來「一球一球」的硬塊,本質上已經不是單純的凝膠,而是凝膠被身體「包覆和硬化」後的防禦性組織,進而限制臉部的肌肉運動,做表情時出現不自然的拉扯感或臉型不對稱。
凝膠移位與形變
此外,雅得媚並非與組織緊密結合,包覆它的纖維囊膜很脆弱,不容易固定。而臉部每天在動,表情活動或重力拉扯都可能讓囊膜破裂,使凝膠往下滑或滲進其他層次,感覺「鼻子變寬了」、「嘴角歪一邊」、「笑起來卡卡的」甚至直接成為饅化臉,這些也都是雅得媚後遺症症狀。
雅得媚失敗的診斷關鍵:高頻超音波影像特徵說明
面對雅得媚後遺症時,高頻超音波是判斷凝膠位置、深度、數量以及身體反應層次的不可取代性工具,沒有超音波的導航,任何「雅得媚取出」手術都屬於盲目操作,不但無法掌握凝膠的走向,也可能誤傷正常組織,造成凹陷或不對稱。
下圖為超音波影像顯示,中央低回音的「雅得媚凝膠區」,外圍則可見高回音亮白帶,為身體因長期免疫反應所形成的纖維化與肉芽腫層。

超音波影像3個層次
「摸到的硬塊」不是凝膠本身,而是凝膠外層的免疫反應組織。因此,透過超音波的分層影像,醫師能準確判斷硬塊的性質,是單純的凝膠堆積、急性感染液化,還是慢性纖維化肉芽腫。再依據影像結果,制定「分級、分層、分步」的修復策略,讓雅得媚取出與重建過程更安全、更精準。
| 延伸 閱讀 | 雅得媚之外的玻尿酸饅化&膠原蛋白增生劑饅化怎麼辦? |
雅得媚取出與修復3階段
醫師觀點:雅得媚後遺症與雅得媚失敗修復挑戰

雅得媚(Aquamid)作為一種永久型非分解性人工凝膠,在歷史定位劃分了與可分解型填充劑的區別,但由於它會滲入組織並與血管神經交錯,加上長期引發的複雜纖維化,面對雅得媚失敗的案例,在理論上完全取出所有殘留物是幾乎不可能達成的目標。

上圖為《美容整形外科檔案(2019)》指出,33歲的女性,12年前曾接受Aquamid注射進行額部填充,因額部輪廓嚴重不規則,額部右側可見輕度至中度的凸起,左側額部正中央可見嚴重的穹頂狀突出凸起。

在局部麻醉下,透過直接切開和擠壓的方式去除了20毫升多餘的凝膠。經驗表明,Aquamid的移除是可行的,但應採取適當的手術預防措施,該案例在術後4個月追蹤未見感染、輪廓變形等供發症。

李咏馨醫師表示:「越永久的東西,越要謹慎選擇。因為身體會改變,但這些人工物質卻不會隨你老去。」
臨床上,處理嚴重的雅得媚後遺症時,醫病雙方必須建立共識:修復目標是讓「恢復自然表情與線條」,不需強行切除所有殘留硬塊。整個修復過程不僅是醫師技術的嚴峻考驗,更是對醫病雙方耐心與溝通的考驗。
如果你懷疑自己曾經注射過Aquamid,或臉上出現異常硬塊、拉扯、紅腫,建議尋求具備影像檢查與修復經驗的專業醫師評估。透過超音波,我們能分辨反應性組織的狀態,並以最小創傷的方式,幫助你恢復自然、柔軟的表情。
2026更新| 都是雅得媚,饅化超音波差很多?
最近私訊跟門診問「雅得媚怎麼處理?」真的變多了,但在實際臨床觀察中,關鍵不是外觀,而是✨你說的雅得媚是哪一種材質?因為「雅得媚」這個名字在不同時期,曾被用在不同的永久性填充物上,共同點都是永久,差別在:
✔材料本質(像果凍?像顆粒?)
✔超音波影像(線狀、結節、偽囊腫)
✔身體長期反應(發炎、移動、硬塊)
其實不完全相同,這也是為什麼,大家口中常說的長效玻尿酸在醫師眼中,很多時候不是同一種東西。
.jpg)
雅得媚饅化類型1:PAAG
PAAG(聚丙烯醯胺水凝膠)可以想成,水很多的果凍(大約95–97%是水)注射後像一團濕潤的凝膠在組織縫隙裡,外觀上可以維持體積,但有可能沿著筋膜或間隙慢慢移動。長期問題偏向:不明原因反覆腫脹、慢性發炎、感染、位置越來越怪。

雅得媚饅化類型2:PMMA
PMMA(聚甲基丙烯酸甲酯)像非常非常小顆、硬的塑膠珠子,注射後會永久留在體內,身體在外面形成包覆反應,這也是為什麼可以撐很久,一旦出現問題,處理會很棘手。常見狀況是:硬塊、肉芽腫、纖維化、觸感不自然。
.jpg)
重點不是名字,評估時更在意3件事:
✔身體與材料的互動狀態(腫/痛/硬/拉扯?)
✔超音波實際看到的結構(哪一層/哪一型?)
✔目前是否真的需要處理?先安全追蹤?
醫療不是一刀切,而是要在了解注射材質、理解身體及當下狀態後,才有辦法選到最安全、最適合的決定。
雅得媚Aquamid精選FAQ
Q 雅得媚Aquamid是什麼?為什麼打完多年後會出現後遺症?
A: 雅得媚是一種由 97.5% 無菌水和 2.5% 聚丙烯醯胺(PAAG)組成的長效型人工水凝膠。主要風險在於「不可吸收性」,由於人體無法分解 PAAG,免疫系統會將其視為外來物,長期進行慢性攻擊,導致發炎細胞聚集形成「肉芽腫」或「纖維化」,進而產生硬塊或變形。這通常是晚發性的併發症,可能在注射數月甚至數年後才出現。
Q 雅得媚常見的失敗症狀或後遺症有哪些?
A: 臨床經驗,雅得媚常見的後遺症包括:
硬塊與結節: 摸起來有一球一球的異物感,這是身體包覆凝膠形成的纖維化組織。
移位與變形: 因重力或表情拉扯,凝膠滑動導致臉部不對稱、嘴角歪斜或鼻子變寬。
饅化臉(Pillow Face): 填充物引起腫脹或移位,導致臉部輪廓變得不自然、浮腫。
發炎感染: 少數情況下可能引發紅腫或化膿。
Q 雅得媚和玻尿酸有什麼不同?哪種安全?
A: 兩者最大的差異在於「可逆性」與「代謝方式」。
玻尿酸: 可被身體酵素分解代謝,維持時間約 6-18 個月,若不滿意可注射降解酶溶解,安全性較高。
雅得媚: 屬於永久型填充物,無法被人體代謝。一旦發生位移或肉芽腫,無法像玻尿酸一樣簡單溶解,修復難度極高,且長期風險較大。
Q 雅得媚如果不滿意或出現硬塊,可以完全取出嗎?
A: 雅得媚會滲透進組織間隙並與血管神經交錯,因此要在不傷害正常組織的前提下「完全取出」幾乎是不可能的。目前的修復主流觀念是「恢復自然外觀」而非強行清除所有殘留物。專業醫師會透過「引流」、「施打消疤針鬆解」以及「顯微套管雕修」三階段策略,來減壓、軟化組織並修飾線條,以降低對臉部的二次傷害。
Q 懷疑自己有雅得媚後遺症,應該如何診斷與治療?
A: 診斷的關鍵在於「高頻超音波」檢查。單憑觸摸無法判斷硬塊是單純的凝膠還是發炎組織。透過超音波影像,醫師能清楚看見凝膠的位置、深度以及周圍是否有纖維化反應層(肉芽腫)。確診後,醫師會依據影像採取分級治療,避免盲目開刀造成凹陷或神經損傷。
| 延伸 閱讀 | 饅化臉怎麼辦?超音波診斷4大饅化原因+3階段饅化修復策略 |
• RealSelf. 雅得媚是什麼(What is Aquamid?)。 Retrieved from https://www.realself.com/nonsurgical/aquamid
• 衛生福利部食品藥物管理署. "坎杜拉"雅得媚(衛署醫器輸字第021905號)醫療器材仿單。
• Saral, S., et al. (2016). Forty-nine year old woman with complications to Aquamid® injections. Journal of Plastic Surgery and Hand Surgery, 50(4), 263-264. Retrieved from https://www.researchgate.net/...
• Oh, S. J., et al. (2020). Polyacrylamide hydrogel (Aquamid) filler removal after a decade. Archives of Aesthetic Plastic Surgery, 26(3), 114-118. Retrieved from https://e-aaps.org/journal/view.php?number=676









