抽脂凹凸不平補救:不只是填充?玻尿酸與顯微套管的修復真相一次看懂

抽脂手術後的輪廓畸形與凹凸不平,為臨床上極具挑戰性的併發症。傳統單純脂肪移植常因受區的嚴重纖維化與沾黏,導致脂肪存活率下降,在這樣的環境下,單純的填補往往徒勞無功。
本篇從臨床角度探討抽脂凹凸不平補救的修復策略:先以顯微套管,精準皮下沾黏鬆解,結合玻尿酸,作為組織支架,透過改善受區的血管新生環境與釋放組織張力,提升修復的可預測性與穩定度。
為什麼抽脂凹凸不平補救這麼難?
很多人來找我做「抽脂凹凸修復」時,第一個問題通常不是價格,而是「醫師,這個補回去會不會又消?」、「是不是脂肪不夠好?」、「能不能一次就修好?」
但老實說,抽脂凹凸不平補救最困難的地方,從來不是把東西補進去,而是補進去的東西能不能活下來。

李咏馨醫師看法:人是活的,組織也是活的,在凹凸修復這條路上,我越做越確定一件事:疤痕越多、破壞越嚴重、捏起來壓力越大的地方,脂肪就越難存活,這並不是脂肪本身不好,而是「環境太差」。
抽脂後的凹陷是複雜的組織變化。文獻指出,抽脂手術若操作不當或過度抽吸,容易導致皮下組織的多層次損傷,癒合過程形成的纖維索帶,會將真皮層與深層筋膜沾黏,導致向內凹陷的垂直牽拉力,特徵包括:
① 密集的疤痕纖維:像錨一樣將皮膚往深處拉扯。
② 高壓環境,組織被黏住、拉緊、缺乏彈性。
③ 血液循環不佳,堅硬的纖維化組織,影響新生血管的建構。
在這樣的環境下,直接進行脂肪移植,補再多的脂肪都會因為沒有空間生長、沒有血液供應而導致脂肪液化壞死,甚至因為壓力過大而流失或鈣化。
| 延伸 閱讀 | 韓國抽脂dcard真相?親身經歷曝光 |
抽脂凹凸不平補救:第一階段

內視鏡影像展示,纖維化沾黏(Fibrous Adhesions)形成的索帶結構,如同纜繩般,將淺層組織緊緊拴住在深層結構,造成抽脂術後的外觀凹陷。如果未先處理這些高張力的纖維束,任何填充物都會被迫流向低阻力區。
針對纖維化沾黏,首要步驟為物理性的空間釋放。傳統管徑(>3mm)較粗,操作鈍力大,易造成廣泛性組織破壞與出血,增加血清腫與血腫風險。顯微套管<2.2mm的極細小管徑,具備以下優勢:
此步驟的重點在「皮下鬆解」,顯微套管就像一把精細的繡花針,我們透過多層次扇形分離手法,不僅可以精準地切斷將皮膚往下拉的纖維束,同時在皮下脂肪層與淺層筋膜間創造出受區囊袋,將原本沾黏的疤痕組織,轉化為可容納填充的疏鬆空間,降低後續填充時的組織對抗壓力。
| 延伸 閱讀 | 抽脂凹凸不平Dcard網友爆問8大QA |
抽脂凹凸不平補救:第二階段

沾黏鬆解後,因為傷口癒合的特性,可能會再次黏回去。此時,引入玻尿酸(Hyaluronic Acid, HA)其作用已經超越了單純的填充劑,而是扮演關鍵的生物支架角色。
為什麼選擇玻尿酸?
| 延伸 閱讀 | 抽脂後遺症ptt迷思完整分類 |
我為什麼會在修復中使用玻尿酸?

李咏馨醫師看法:因為不是每個人,都有多次修復的本錢。對於大片、乾掉、纖維化嚴重的凹陷來說,反覆抽脂、補脂的代價很高,除了身上的脂肪來源有限,案例心理壓力也很大。
我們必須思考:還有沒有其他方式,能幫助這個環境變得比較友善?而玻尿酸是相對現實的選擇。其他生物材料在身體、大體積的應用上,不是價格過高,就是實務上難以長期使用。相較之下,玻尿酸是熟悉、可預期、可追蹤的選項。但前提是怎麼定位它?
事實上,玻尿酸用於臉部的凹陷性疤痕治療上,早已不是新鮮事。PMC研究中,玻尿酸注射於rolling atrophic scars,左右臉對照可見明顯差異,更重要的是,同一研究團隊在2年的延伸追蹤中發現,效果在Day120到Day 720之間並無顯著下降。

玻尿酸填充於不同型態凹陷之組織反應。
◀左側:滾動型(Rolling)或車廂型(Boxcar)凹陷,下方無嚴重沾黏牽引,玻尿酸能有效撐起真皮層。
▶右側:若皮下存在嚴重的疤痕組織(Scar Tissue)或垂直拉扯,單純注入填充物會被疤痕阻擋,無法撐開空間,甚至導致填充物向旁流動。
從這個分類來看,許多抽脂後的凹陷,其實更接近 rolling scar 或 boxcar scar,而不是極深層、被拉死的疤痕,這也是為什麼在特定條件下,玻尿酸可以成為一種合理的修復工具。
玻尿酸用在身體,會不會很快消掉?

臉部與身體,本來就是不同的代謝環境。臉部活動多、血流旺盛、代謝快;身體某些區域(如臀部)相對靜態。所以「臉多久消」不能直接套用在「身體」。
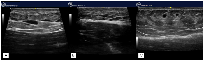
一篇針對臀部交聯型玻尿酸的研究,使用超音波影像追蹤:
(A)術後12個月可見界線清楚之低回音玻尿酸聚集區,周圍未見異常血流。
(B, C)術後20個月追蹤,玻尿酸殘留體積減少,但仍可於皮下層清楚辨識低回音結構,顯示填充物並未完全吸收,且與周邊組織呈穩定整合狀態。案例主觀滿意度高(GAIS 評分為改善或顯著改善)。
抽脂凹凸不平補救的生物學拆解

我常跟病人說一句話:脂肪就像種子,但凹陷處的床,常常是鹽鹼地。當我們用顯微套管釋放疤痕壓力,並用玻尿酸穩定空間,這塊「鹽鹼地」變成「良田」,這時候進行自體脂肪移植,存活率將大幅提升。
從脂肪存活的生物學來看,玻尿酸「可能幫上忙」的地方有三處:
抽脂凹凸不平補救真實案例

我的實際策略:不是靠玻尿酸救脂肪,而是先把壓力降下來。我必須很清楚地說明:「我不把玻尿酸視為「提升脂肪存活率的核心工具」。真正影響脂肪存活的,仍然是:
✔顆粒大小
✔注射密度
✔分層、分散
✔壓力釋放
✔還有耐心等待
但在美觀與整體修復穩定度上,玻尿酸本身的體積與後續效應,確實帶來非常多加分。所以,我為什麼會在身體凹凸修復中使用玻尿酸?因為我追求的不是「短期看起來平」,而是長期穩定、環境友善、結果可預期。玻尿酸的持久度,不能只用「還剩多少體積」來衡量。而是要看:
✔能不能幫助我們度過最困難的早期階段
✔是否降低了修復環境的壓力
✔是否讓整體外觀更平順、更自然
在這樣的定位下,玻尿酸,是我在凹凸修復中會慎重使用、但不會濫用的工具。
| 延伸 閱讀 | 抽脂凹凸不平重修怎麼救? |
抽脂凹凸不平FAQ
Q 為什麼抽脂後會出現凹凸不平?單純補脂肪有用嗎?
答:抽脂後出現凹凸不平,主要原因是手術造成的「深層纖維化沾黏」與「疤痕組織」,這些纖維索帶像錨一樣將皮膚往下拉,形成高壓的組織環境。如果在這種像「鹽鹼地」的惡劣環境下直接補脂,脂肪容易因壓力過大、缺乏血液供應而液化壞死或流失。因此,單純補脂往往效果不佳,必須先改善組織環境。
Q 麗波診所的「抽脂凹凸修復」跟一般修復有什麼不同?
答:最大的差異在於我們採用的「複合式修復策略」。傳統修復多使用粗管徑抽吸,容易造成二次傷害。麗波採用 <2.2mm 顯微套管,能像繡花針般精準切斷垂直拉扯的纖維束(皮下沾黏鬆解),釋放組織壓力;同時結合 玻尿酸 作為「生物支架」,撐開空間並防止組織沾黏回去,為後續的脂肪移植創造良好的生長環境。
Q 為什麼修復過程要使用玻尿酸?身體打玻尿酸不會很快消掉嗎?
答:在修復中,玻尿酸的角色不只是填充劑,更是「空間支架」與「組織優化劑」。它能防止剛鬆解的組織再次沾黏,並調節免疫反應,將發炎訊號轉為再生訊號。至於代謝問題,身體區域(如臀部、大腿)的代謝速度比臉部慢,且研究顯示,特定劑型的玻尿酸在皮下能維持較長時間,持續發揮支撐與穩定組織的作用。
Q 抽脂失敗後多久可以進行二次修復?
答:一般建議至少等待 6 個月,待組織紅腫消退、疤痕穩定軟化後再進行評估。然而,若凹凸狀況嚴重影響生活,或有沾黏造成的不適感,建議先尋求專業醫師進行高頻超音波檢查,判斷皮下沾黏的層次與嚴重程度,再制定個人化的分階段修復計畫。
Q 使用顯微套管修復凹凸不平,術後恢復期會很久嗎?
答:相較於傳統抽脂修復,顯微套管因為管徑極細(<2.2mm)且為鈍頭設計,能避開血管神經,大幅減少出血與組織破壞。因此,術後的瘀青、腫脹都較輕微,恢復期相對縮短。更重要的是,這種精細操作能降低脂肪栓塞風險,是安全性較高的修復選擇。









